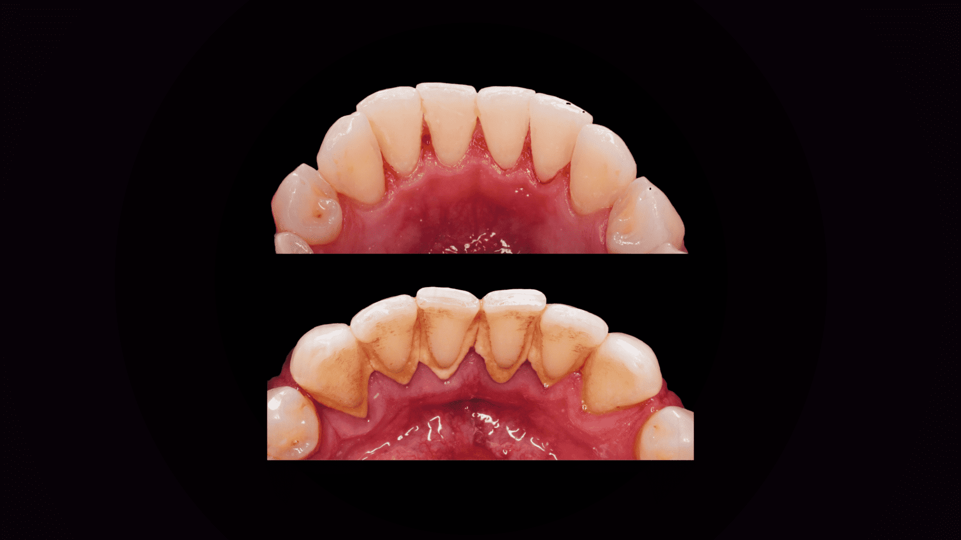
Obraz przed i po usunięciu kamienia nazębnego - wynik higienizacji
27 marca 2023

HIGIENIZACJA - WAŻNY ZABIEG PROFILAKTYCZNY

Najpewniej niejednokrotnie zdarzyło się Wam, że nie myliście zębów przez cały dzień, od porannego szczotkowania zębów minęło kilka godzin i wtedy mogliście odczuć, że zęby są jakby matowe w dotyku. Przesuwając językiem po zębach, mogliście poczuć powstały na nich nalot. Ten nalot to płytka nazębna. I można powiedzieć, że od tej płytki wszystko się zaczyna…

Płytka nazębna - niewidoczna, a groźna

Płytka nazębna to efekt uboczny połączenia się śliny z resztkami jedzenia. Możemy ją opisać jako lepki, bezbarwny film, zawierający bakterie i węglowodany. Niestety, ten film nieustannie tworzy się na zębach, w zasadzie już w ciągu kliku godzin po myciu zębów, szczególnie wzdłuż linii dziąseł oraz w przestrzeniach międzyzębowych. Wiele osób nie toleruje takich doznań i stara się szybko umyć zęby. Nie zawsze jednak jest to możliwe. I wówczas już po kolejnych kilku godzinach, płytka nazębna może ulec mineralizacji i może stopniowo  przekształcać się w kamień nazębny. 

Nieusuwana płytka nazębna może też podrażnić dziąsła wokół zębów, powodując ich obrzęk i krwawienie, tkliwość i bolesność, a nawet nieprzyjemny zapach. Oprócz stanu zapalnego dziąseł, przyczynia się również do ubytków próchnicowych.

Czy powinniśmy obawiać się kamienia nazębnego? 

Jeśli więc nie usuwamy płytki nazębnej za pomocą regularnego szczotkowania i nitkowania, wówczas utwardza się ona na powierzchni zębów i powstaje kamień nazębny. 

Kamień powstaje również w wyniku niedoczyszczenia. Pacjenci mówią: „przecież myję zęby”, „szczotkuję zęby 3 razy dziennie, po każdym posiłku”. Jednakże, często w pośpiechu, czasami niewłaściwą techniką, gdzie jedynie masujemy zęby na przykład kolistym ruchem (ponieważ tak nas uczyli w szkole). Niestety, w ten sposób nie ma możliwości właściwego oczyszczenia strefy nad i pod dziąsłowej, czy przestrzeni międzyzębowych. Nieusunięta płytka ulega zwapnieniu i mamy kamień. Możemy go zauważyć jako zażółcenie lub zbrązowienie na zębie, tuż przy dziąśle. Ale najbardziej groźny jest kamień, którego nie widać, ten umiejscowiony pod dziąsłem. Takie typowe objawy mogące świadczyć o jego istnieniu to: krwawiące dziąsła, zaczerwienione dziąsła, wrażliwość i obrzęk, czasami nieprzyjemny zapach z ust.   

Długotrwałe zaleganie kamienia może doprowadzić do paradontozy, która, jeśli jest nieleczona, powoduje utratę zębów i wpływa na rozwój stanów zapalnych w całym organizmie. 

I tak jak płytkę nazębną możemy usunąć sami, tak kamień nazębny musi zostać usunięty w gabinecie stomatologicznym.

D-DENT Sopot Centrum Nowoczesnej Stomatologii

Zdecydowanie konieczna higienizacja!

Stało się! Mamy kamień! Nie powinniśmy zwlekać i jak najszybciej skorzystać z  profesjonalnego zabiegu higienizacji, która zapobiegnie wielu poważnym schorzeniom. 

Przecież tutaj nie chodzi tylko o względy estetyczne, które oczywiście są również ważne, ale musimy liczyć się z konsekwencjami, o których wcześniej wspominałam: choroby zapalne dziąseł, utrata zębów z powodu paradontozy, stany zapalne w całym organizmie, zaburzające jego właściwe funkcjonowanie np. serca, czy stawów. 

Dlatego regularne wizyty w gabinecie dentystycznym to podstawa. W trakcie takiej wizyty, lekarz ocenia stan dziąseł, śluzówek, zębów i zdecyduje o higienizacji. 

Jeśli dbamy o swoje zęby właściwie,  prawdopodobnie nie dotyczy nas problem związany z kamieniem nazębnym. Wówczas higienizacja powinna opierać się tylko na pozbyciu się osadów i przebarwień poprzez piaskowanie i polerowanie.

Higienizacja ma jeszcze inne niezwykle ważne zadania. 

Na przykład, higienizacja przeprowadzona przed leczeniem zębów, umożliwi lekarzowi  właściwą ocenę powierzchni zębów, dziąseł, powierzchni stycznych oraz w przewidywalny i bezpieczny sposób szczelne złożenie wypełnień, bez ryzyka wystąpienia próchnicy wtórnej. Higienizacja jest również zalecana przed bardziej inwazyjnymi procedurami jak implantacja. A higienizacja przed wybielaniem zębów, zwiększy efekt wybielenia oraz wpłynie na równomierne rozjaśnienie zębów. Zalet higienizacji jest bardzo dużo. Zęby stają się bielsze i przyjemnie gładkie w dotyku. Pamiętamy, że jest to jednak przede wszystkim profilaktyka, która jest niezwykle ważna, ponieważ od niej w dużej mierze zależy stan naszego zdrowia. 

Higienizacja przebiega w następujących głównych etapach, które poprzedza dokładna diagnoza dokonana na podstawie zdjęć wewnątrzustnych:

  • Wykonanie skalingu, czyli usunięcie złogów nazębnych

  • Piaskowanie, czyli usuwanie przebarwień 

  • Polerowanie szkliwa w celu wygładzenia powierzchni zębów 

  • Fluoryzacja, aby zahamować demineralizację szkliwa i zapobiec próchnicy 

  • Instruktaż dbania o higienę jamy ustnej.

 

Będzie mi bardzo miło, jeśli ten tekst chociażby w najmniejszym stopniu zwrócił Waszą uwagę na problematykę higieny jamy ustnej. 

W kolejnym artykule opiszę dokładnie krok po kroku, jak przebiega zabieg higienizacji w naszym centrum D-DENT. Muszę przyznać, że moi Pacjenci polubili te zabiegi, a ja Wam zdradzę co Im się podoba w nich najbardziej.

Autorka tekstu

Agnieszka Biesiekierska, Dyplomowana Higienistka Stomatologiczna,

D-DENT Centrum Nowoczesnej Stomatologii Sopot

Artykuły naszych ekspertów

OPINIE O NAS

Zadzwoń: +48 603 773 180 

lub umów się online:

UMÓW WIZYTĘ

Rejestracja

Umów się na wizytę

Gabinety stomatologiczne w Sopocie

Zadzwoń:

+48 603 773 180

lub umów się online:

REJESTRACJA ON-LINE

Strona www stworzona w kreatorze Medical PR

zdjęcia kadry oraz wyposażenia placówki D-Dent - So Blue Sky

zdjęcia na stronie głównej / nagłówek - obraz autorstwa Nakaridore na Freepik

Leczymy.

Implantologia

Protetyka

Bóle stawowe

Nadwrażliwość

Wady zgryzu

Paradontoza

Leczenie kanałowe

Ból zęba

Firma.

Kontakt

Dołącz do nas

Nasi Specjaliści

Bezpieczeństwo

Blog

Cennik

Technologie

Nasi specjaliści

Oferta.

Implantologia

Protetyka

Profilaktyka

Diagnostyka

Rehabilitacja stawu skron.-żuchw.

Leczenie bruksizmu

Wybielanie zębów

Ortodoncja

Chirurgia stomatologiczna

Periodontologia

Endodoncja

Stomatologia dziecięca

Stomatologia zachowawcza

Leczenie bez bólu